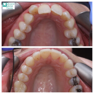
This beautiful lady was over the moon with her smile transformation by Morven! She had become increasingly aware of her squint/discoloured teeth, which was making her feel very self conscious, especially when she was smiling. Her top lateral incisors (the second teeth from the front) stuck out and were really obvious in photos.
As you can see from her Invisalign Clinicheck, we were able to pull these teeth right back into alignment, so the top teeth now have a lovely smooth curve. The bottom teeth were squint and difficult to keep clean and now that they are straight, its much easier for her to keep her teeth clean, lowering her risk for gum disease in the future.
She was absolutely delighted with her treatment from start to finish, and felt Morven and her team looked after her so well throughout the procedure. Would you like to see how Morven could transform your smile? Book in to see us and we can scan your teeth for free and show you what your teeth could potentially look like after treatment!
















